500.000₫
254 Điện Biên Phủ
Rủi ro hôi miệng do viêm nướu không chỉ là vấn đề mùi hơi thở khó chịu nhất thời — đây là tín hiệu cảnh báo sức khỏe răng miệng đang tiến triển theo chiều hướng nguy hiểm. Khi vi khuẩn từ mảng bám và cao răng tích tụ gây viêm mô nướu, chúng giải phóng hợp chất lưu huỳnh bay hơi tạo ra mùi đặc trưng không thể che giấu bằng kẹo cao su hay nước súc miệng thông thường.
Theo thống kê nha khoa, hơn 85% trường hợp hôi miệng mãn tính có nguồn gốc từ khoang miệng, trong đó viêm nướu và viêm nha chu là nguyên nhân hàng đầu. Tại Nha khoa True Dental — với nhiều năm kinh nghiệm chuyên sâu trong nha khoa thẩm mỹ và điều trị bệnh lý nha chu — chúng tôi gặp rất nhiều bệnh nhân đến điều trị hôi miệng do viêm nướu khi bệnh đã tiến triển sang giai đoạn phức tạp vì bỏ qua các dấu hiệu ban đầu. Bài viết này phân tích toàn diện về rủi ro hôi miệng do viêm nướu, cơ chế gây bệnh và phác đồ điều trị hiệu quả nhất hiện nay.
Viêm nướu là tình trạng viêm nhiễm của mô nướu bao quanh chân răng, gây ra bởi sự tích tụ của mảng bám vi khuẩn dọc theo đường viền nướu. Đây là giai đoạn đầu của bệnh nha chu — giai đoạn còn có thể đảo ngược hoàn toàn nếu được phát hiện và điều trị kịp thời. Tuy nhiên, nếu bỏ qua, viêm nướu sẽ tiến triển thành viêm nha chu — bệnh lý phá hủy cả mô nướu, dây chằng nha chu và xương ổ răng, cuối cùng dẫn đến mất răng vĩnh viễn.
Cơ chế sinh ra hôi miệng do viêm nướu hoạt động theo chuỗi phản ứng sinh hóa phức tạp. Vi khuẩn kỵ khí — chủ yếu là Porphyromonas gingivalis, Treponema denticola và Tannerella forsythia — trú ngụ trong các túi nướu viêm và phân hủy protein từ tế bào nướu hoại tử, thức ăn thừa và dịch nướu. Quá trình phân hủy này sinh ra các hợp chất VSC gồm hydrogen sulfide, methyl mercaptanvà dimethyl sulfide. Đây chính là nguồn gốc hóa học của rủi ro hôi miệng do viêm nướu mà không loại nước súc miệng hay viên ngậm thơm miệng nào có thể giải quyết tận gốc.

Nhiều người xem hôi miệng do viêm nướu chỉ là vấn đề thẩm mỹ và cố che giấu bằng các sản phẩm làm thơm miệng. Đây là sai lầm nghiêm trọng vì bỏ qua rủi ro hôi miệng do viêm nướu đồng nghĩa với việc để bệnh lý nền tiến triển không kiểm soát, kéo theo hàng loạt hậu quả nghiêm trọng hơn mùi hơi thở.
Viêm nướu không điều trị sẽ tiến triển thành viêm nha chu — tình trạng vi khuẩn xâm nhập sâu xuống túi nha chu dưới đường viền nướu, phá hủy dây chằng và xương ổ răng nâng đỡ răng. Ở giai đoạn này, hôi miệng trở nên nặng nề và dai dẳng hơn do lượng vi khuẩn kỵ khí trong túi nha chu tăng gấp nhiều lần, đồng thời tổ chức hoại tử và dịch viêm tiếp tục là nguồn cơ chất phong phú cho quá trình sinh VSC. Nếu không can thiệp, bệnh nhân có thể mất răng chỉ trong vài năm dù không bị sâu răng.
Một trong những rủi ro hôi miệng do viêm nướu ít được biết đến là nguy cơ hình thành áp xe nướu — ổ mủ tích tụ trong túi nha chu do vi khuẩn bị bít tắc. Áp xe gây đau nhức dữ dội, hôi miệng cực kỳ nặng và nếu không dẫn lưu kịp thời có thể lan sang xương hàm, các khoang mặt cổ và gây nhiễm trùng huyết đe dọa tính mạng. Đây là biến chứng hiếm gặp nhưng hoàn toàn có thể xảy ra ở bệnh nhân suy giảm miễn dịch hoặc tiểu đường không kiểm soát tốt.
Nghiên cứu khoa học hiện đại chứng minh mối liên hệ hai chiều giữa viêm nướu gây hôi miệng và các bệnh lý toàn thân. Vi khuẩn từ túi nha chu có thể xâm nhập vào mạch máu, góp phần gây viêm nội tâm mạc nhiễm khuẩn, tăng nguy cơ nhồi máu cơ tim và đột quỵ. Phụ nữ mang thai có viêm nướu không được điều trị có nguy cơ sinh non và trẻ nhẹ cân cao hơn đáng kể. Người tiểu đường có viêm nha chu khó kiểm soát đường huyết hơn, tạo ra vòng xoáy bệnh lý bất lợi. Đây chính là lý do rủi ro hôi miệng do viêm nướu vượt ra ngoài phạm vi răng miệng đơn thuần.

Không phải mọi trường hợp hôi miệng đều xuất phát từ viêm nướu. Tuy nhiên, khi hôi miệng do viêm nướu xảy ra, nó thường đi kèm với một số dấu hiệu đặc trưng giúp phân biệt với hôi miệng do thức ăn hay vệ sinh kém thông thường:
Hôi miệng liên tục và không cải thiện sau khi đánh răng là dấu hiệu điển hình nhất. Trong khi hôi miệng do thức ăn (tỏi, hành) sẽ giảm sau khi chải răng, hôi miệng do viêm nướu tồn tại dai dẳng vì nguồn gốc là ổ vi khuẩn trong túi nướu — không thể loại bỏ bằng bàn chải thông thường.
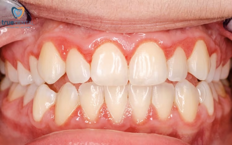
Nướu sưng đỏ, chảy máu khi đánh răng là triệu chứng viêm đặc trưng kèm theo. Nướu khỏe mạnh có màu hồng nhạt và không chảy máu khi chải nhẹ. Nướu viêm sẽ có màu đỏ sẫm hoặc đỏ tím, sưng phù và chảy máu ngay cả khi chải răng nhẹ nhàng hoặc dùng chỉ nha khoa.
Vị đắng hoặc vị kim loại trong miệng kèm theo hôi miệng thường báo hiệu dịch viêm và máu từ túi nướu đang tiết ra liên tục — dấu hiệu của viêm nướu đã tiến sang giai đoạn trung bình đến nặng, cần can thiệp nha khoa ngay.
Nướu tụt, hở chân răng kết hợp với hôi miệng dai dẳng là tổ hợp dấu hiệu của viêm nha chu đã tiến triển, nơi rủi ro hôi miệng do viêm nướu đang ở mức độ cao nhất và cần điều trị chuyên sâu.
Hiểu đúng nguyên nhân gốc rễ giúp điều trị hôi miệng do viêm nướu hiệu quả và ngăn ngừa tái phát. Viêm nướu gây hôi miệng thường bắt nguồn từ nhiều yếu tố phối hợp, không chỉ đơn giản là thiếu vệ sinh răng miệng:
Vệ sinh răng miệng không đúng kỹ thuật là nguyên nhân phổ biến nhất nhưng thường bị hiểu sai. Vấn đề không phải là đánh răng bao nhiêu lần mà là có làm sạch đúng vị trí nguy cơ hay không. Kẽ răng và vùng tiếp giáp nướu là nơi mảng bám vi khuẩn tích tụ nhiều nhất — hai vị trí mà bàn chải thông thường không thể tiếp cận hiệu quả nếu không dùng kèm chỉ nha khoa hoặc tăm nước.
Hút thuốc lá vừa là yếu tố gây viêm nướu trực tiếp vừa làm trầm trọng thêm rủi ro hôi miệng do viêm nướu. Nicotine và các hợp chất độc hại trong khói thuốc ức chế hệ miễn dịch khoang miệng, giảm lưu lượng máu nuôi nướu, tạo môi trường kỵ khí lý tưởng cho vi khuẩn sinh VSC phát triển. Người hút thuốc có nguy cơ viêm nha chu gấp 2–7 lần và thường có hôi miệng nặng hơn người không hút.
Khô miệng mãn tính là yếu tố thường bị bỏ qua. Nước bọt đóng vai trò rửa trôi vi khuẩn và mảng bám, trung hòa axit và cung cấp kháng thể tự nhiên cho khoang miệng. Khi tuyến nước bọt hoạt động kém — do thuốc (thuốc huyết áp, thuốc trầm cảm, thuốc kháng histamine), thở miệng, hoặc bệnh lý tuyến nước bọt — vi khuẩn gây viêm nướu và hôi miệng sinh sôi nhanh hơn đáng kể.
Thay đổi nội tiết tố trong thai kỳ, dậy thì hoặc sử dụng thuốc tránh thai làm tăng nhạy cảm của mô nướu với vi khuẩn mảng bám, tạo điều kiện phát sinh viêm nướu thai kỳ — một dạng viêm nướu thường kèm theo hôi miệng và chảy máu nướu phổ biến ở phụ nữ mang thai.

Điều trị rủi ro hôi miệng do viêm nướu đòi hỏi tiếp cận nguyên nhân gốc rễ — không thể giải quyết bằng sản phẩm tiêu dùng tự mua. Phác đồ điều trị tại Nha khoa True Dental gồm các bước được thiết kế phối hợp chặt chẽ:
Bác sĩ tại True Dental thực hiện đo độ sâu túi nha chu bằng probe chuyên dụng, chụp X-quang đánh giá mức tiêu xương ổ răng và lập bản đồ vị trí viêm. Kết quả này quyết định phác đồ điều trị viêm nướu gây hôi miệng phù hợp — từ điều trị đơn giản một lần đến chương trình điều trị nha chu đa giai đoạn.
Lấy cao răng (cạo vôi siêu âm) loại bỏ toàn bộ mảng bám cứng trên và dưới đường viền nướu — nguồn gốc trực tiếp của vi khuẩn sinh hôi miệng do viêm nướu. Với trường hợp viêm nha chu, làm sạch gốc răng được thực hiện để làm nhẵn bề mặt chân răng, ngăn vi khuẩn bám trở lại. Sau thủ thuật này, phần lớn bệnh nhân nhận thấy hôi miệng giảm rõ rệt trong vòng 1–2 tuần.
Với trường hợp viêm nướu mức độ trung bình đến nặng, True Dental áp dụng liệu pháp đặt thuốc kháng khuẩn trực tiếp vào túi nha chu sau khi cạo vôi. Phương pháp này tiêu diệt vi khuẩn kỵ khí tận sâu trong túi — nhóm vi khuẩn sinh VSC mạnh nhất và không thể tiếp cận bằng nước súc miệng thông thường.
Sau điều trị chuyên sâu, bác sĩ True Dental hướng dẫn kỹ thuật vệ sinh cá nhân hóa — không phải hướng dẫn chung chung. Lịch tái khám 6–8 tuần sau điều trị giúp đánh giá mức độ lành nướu, đo lại độ sâu túi và quyết định có cần can thiệp bổ sung. Đây là bước then chốt để kiểm soát rủi ro hôi miệng do viêm nướu tái phát về lâu dài.
Chi phí điều trị hôi miệng do viêm nướu phụ thuộc vào mức độ bệnh lý. Dưới đây là mức giá tham khảo tại Nha khoa True Dental:
Cạo vôi răng (lấy cao răng) định kỳ toàn hàm: giá tham khảo khoảng 300.000 – 500.000 VNĐ/lần, tùy mức độ cao răng nhiều hay ít và công nghệ sử dụng.
Điều trị viêm nha chu giai đoạn đầu đến trung bình (cạo vôi sâu + làm sạch gốc răng): giá tham khảo khoảng 1.000.000 – 3.000.000 VNĐ tùy số vùng điều trị và mức độ tổn thương xương.
Đây là mức giá tham khảo. Chi phí thực tế sẽ được tư vấn cụ thể sau khi thăm khám và đánh giá tình trạng viêm nướu của từng bệnh nhân. True Dental cam kết minh bạch chi phí trước khi điều trị, không phát sinh thêm ngoài dự toán đã thống nhất.

Sau khi điều trị thành công rủi ro hôi miệng do viêm nướu, duy trì kết quả đòi hỏi thay đổi thói quen hàng ngày một cách có hệ thống. Đây là điều mà nhiều bệnh nhân xem nhẹ và phải quay lại điều trị lại chỉ sau vài tháng.
Kỹ thuật làm sạch kẽ răng hàng ngày là nền tảng phòng ngừa. Bàn chải thông thường chỉ làm sạch khoảng 60% bề mặt răng — phần còn lại ở kẽ răng và vùng tiếp giáp nướu cần chỉ nha khoa hoặc tăm nước. Thực hiện sau bữa ăn tối và trước khi ngủ để ngăn vi khuẩn tích tụ qua đêm khi lưu lượng nước bọt giảm thấp nhất.
Súc miệng bằng nước súc miệng chứa chlorhexidine 0,12% theo đợt ngắn hạn (1–2 tuần) theo chỉ định bác sĩ khi có dấu hiệu viêm tái phát. Không dùng liên tục dài ngày vì có thể gây ố màu răng và ảnh hưởng đến vi khuẩn có lợi trong khoang miệng.
Tái khám nha khoa định kỳ 6 tháng/lần là điều kiện tiên quyết để kiểm soát rủi ro hôi miệng do viêm nướu tái phát. Tại mỗi buổi tái khám, bác sĩ không chỉ cạo vôi định kỳ mà còn kiểm tra sự hình thành túi nha chu mới, đánh giá kỹ thuật vệ sinh của bệnh nhân và điều chỉnh phác đồ dự phòng kịp thời.
Kiểm soát các yếu tố nguy cơ toàn thân như đường huyết (với bệnh nhân tiểu đường), bỏ hút thuốc lá và tăng cường uống nước để duy trì độ ẩm khoang miệng đều trực tiếp giảm hôi miệng do viêm nướu và tăng hiệu quả điều trị nha khoa.
Một số nhóm đối tượng có rủi ro hôi miệng do viêm nướu cao hơn đáng kể và cần được theo dõi chủ động hơn:
Phụ nữ mang thai trải qua sự thay đổi hormone đáng kể làm tăng nhạy cảm của nướu với mảng bám, dẫn đến viêm nướu thai kỳ với tỷ lệ lên đến 70–80% nếu không chăm sóc răng miệng tích cực. Hôi miệng do viêm nướu thai kỳ thường xuất hiện từ tam cá nguyệt thứ hai và là dấu hiệu cần khám nha khoa ngay để tránh ảnh hưởng đến sức khỏe thai nhi.
Người đeo niềng răng cố định có nguy cơ viêm nướu và hôi miệng cao hơn vì khí cụ niềng tạo thêm nhiều vị trí khó làm sạch, tích tụ mảng bám nhanh hơn. Cần chải răng sau mỗi bữa ăn, dùng bàn chải kẽ răng và tăm nước để giảm rủi ro hôi miệng do viêm nướu trong suốt quá trình chỉnh nha.
Người cao tuổi có nướu thoái hóa theo tuổi, khả năng tự làm sạch của nước bọt giảm và thường dùng nhiều loại thuốc gây khô miệng — tất cả đều góp phần làm tăng rủi ro hôi miệng do viêm nướu. Cần khám nha khoa 3–4 tháng/lần thay vì 6 tháng như người trẻ khỏe mạnh.

Không. Hôi miệng do viêm nướu không tự khỏi vì nguồn gốc là ổ vi khuẩn trong túi nướu và cao răng tích tụ — những thứ này không thể tự loại bỏ mà cần can thiệp nha khoa chuyên nghiệp. Các biện pháp tại nhà như nước muối, tinh dầu hay viên ngậm chỉ che giấu triệu chứng tạm thời trong khi bệnh lý nền tiếp tục tiến triển.
Sau khi cạo vôi và làm sạch gốc răng tại Nha khoa True Dental, phần lớn bệnh nhân nhận thấy hôi miệng do viêm nướu giảm rõ rệt trong 3–7 ngày và hết hoàn toàn trong 2–4 tuần khi nướu lành và mô nướu ổn định. Trường hợp viêm nha chu nặng có thể cần 6–8 tuần điều trị tích cực trước khi hôi miệng cải thiện hoàn toàn.
Viêm nướu do mảng bám không lây trực tiếp từ người sang người. Tuy nhiên, vi khuẩn nha chu gây rủi ro hôi miệng do viêm nướu có thể lây qua tiếp xúc nước bọt như hôn, dùng chung dụng cụ ăn uống. Đây là lý do vệ sinh cá nhân khoang miệng của cả gia đình đều quan trọng.
Tóm lại, rủi ro hôi miệng do viêm nướu vượt xa vấn đề thẩm mỹ hơi thở — đây là cảnh báo của bệnh lý nha chu đang tiến triển, kéo theo nguy cơ mất răng và ảnh hưởng toàn thân nếu không được điều trị đúng cách và kịp thời. Điều trị thành công đòi hỏi loại bỏ nguồn gốc vi khuẩn qua can thiệp nha khoa chuyên nghiệp, không thể thay thế bằng sản phẩm tự dùng.
Nha khoa True Dental với nhiều năm kinh nghiệm trong nha khoa thẩm mỹ và điều trị nha chu toàn diện sẵn sàng đồng hành cùng bạn — từ chẩn đoán nguyên nhân hôi miệng do viêm nướu chính xác đến điều trị dứt điểm và dự phòng tái phát lâu dài. Hãy đến thăm khám tại True Dental, 254 Điện Biên Phủ, Phường Xuân Hòa, TP. Hồ Chí Minh để được bác sĩ chuyên khoa tư vấn miễn phí và xây dựng phác đồ điều trị viêm nướu phù hợp nhất với tình trạng của bạn.
Nguồn: https://truedental.vn/rui-ro-hoi-mieng-do-viem-nuou/
| Mã số : | 17904931 |
| Địa điểm : | Hồ Chí Minh |
| Hình thức : | Cần bán |
| Tình trạng : | Hàng mới |
| Hết hạn : | 02/05/2026 |
| Loại tin : | Thường |
Bình luận